Un nuevo estudio con ratones descubre que un apéndice desconocido del cuerpo femenino, que durante mucho tiempo se consideró inútil, puede ser en realidad esencial para el desarrollo de los ovarios y la fertilidad. Esta estructura, llamada red ovárica, se descubrió por primera vez en humanos hace más de un siglo, pero hasta ahora se consideraba una estructura vestigial, no crucial en la anatomía femenina adulta, sino un remanente del desarrollo fetal. Generalmente, se cree que las estructuras anatómicas vestigiales, o “vestigios”, cumplieron una función crucial que posteriormente se perdió en el curso de la evolución humana.
Pero según un nuevo estudio, publicado el 19 de marzo en la revista eLife, la red ovárica (RO) podría desempeñar un papel importante en la función ovárica y, por lo tanto, en la fertilidad. El trabajo también demostró que la estructura tiene tres regiones distintas y podría responder a señales hormonales.
“Se suele pensar que el aparato reproductor femenino está compuesto por la vulva, la vagina, el cérvix, el útero, el oviducto y los ovarios”, escribieron los investigadores en su artículo. “Sugerimos que la RO se añada a esta lista y se investigue como un componente adicional de la función reproductiva femenina”.
Aunque su estudio se basa en ratones, los investigadores creen que probablemente se aplique a las personas, ya que la estructura también está presente en otras especies de mamíferos, como vacas, gatos, ovejas, cerdos, perros y monos. Además, los humanos y los ratones comparten vías similares de desarrollo temprano de los órganos sexuales, por lo que los científicos suponen que la estructura y sus señales de desarrollo podrían ser similares en los humanos.
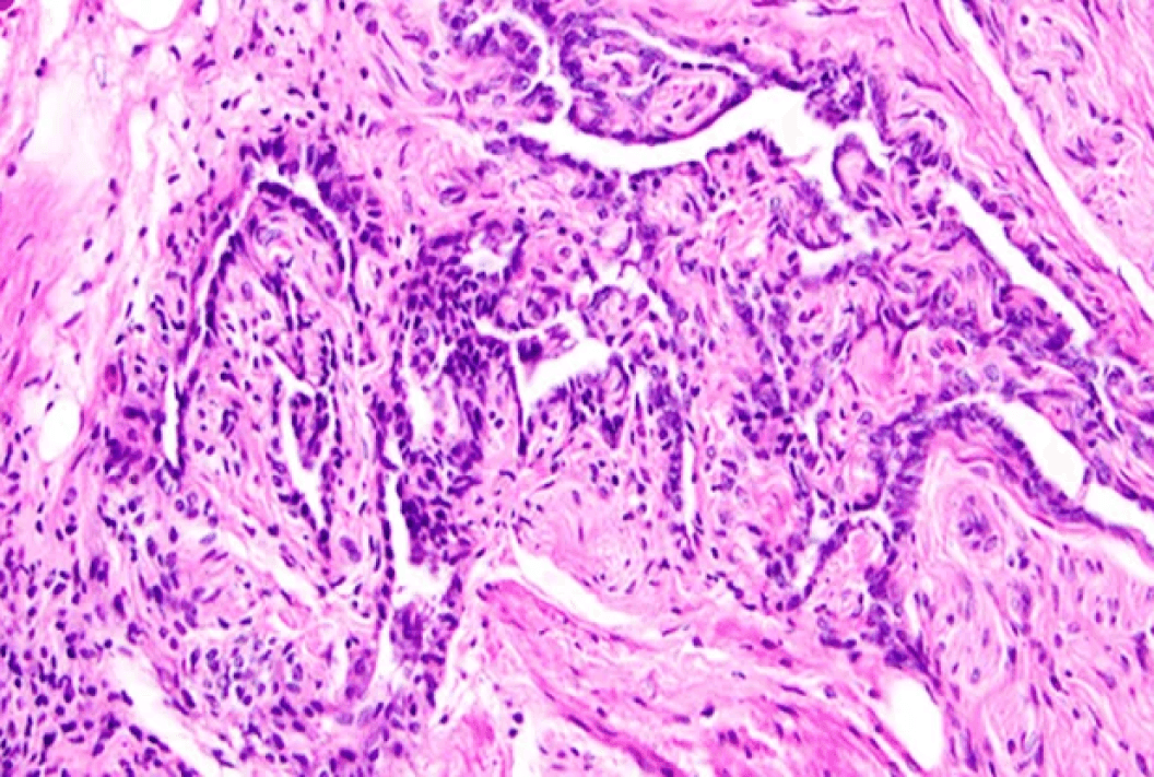
La RO es una red de tubos en forma de herradura ubicada debajo del ovario, en el punto donde los vasos sanguíneos y los nervios ingresan al órgano. Sin embargo, a pesar de que esta estructura está muy conservada entre los mamíferos, cuando se descubrió por primera vez en humanos en 1870, los científicos la consideraron inútil.
“Cuando esta estructura se descubrió por primera vez a fines del siglo XIX, se asumió que no tenía ningún propósito porque los científicos no podían ver su función dentro del cuerpo”, dijo a Live Science en un correo electrónico Adam Taylor, profesor de anatomía en la Universidad de Lancaster que no participó en el estudio reciente.
En aquel entonces, “los científicos tampoco contaban con las mismas técnicas de imagen, microscopía y moleculares disponibles hoy en día”, añadió Taylor. “Estas nos permiten detectar cambios en el flujo sanguíneo, cambios de tamaño de las estructuras internas durante la vida o la capacidad de detectar las proteínas producidas por la red ovárica y compararlas con proteínas similares producidas en otras partes del cuerpo donde se conoce su función”.
Ahora, en el nuevo artículo, los investigadores han aplicado métodos modernos para obtener nuevos conocimientos sobre la RO. Algunos de sus experimentos utilizaron ratones vivos para estudiar cómo se desarrolla la RO en el útero. Otros tejidos analizados en el estudio se obtuvieron de animales sacrificados tras su muerte.
El estudio reveló que la RO contiene tres regiones distintas que maduran durante el desarrollo fetal y se mantienen en la edad adulta. Estas regiones incluyen la red intraovárica (RIO), ubicada dentro del propio ovario; la red extraovárica (REO), compuesta por túbulos contorneados que se unen en un extremo para formar un bulbo; y la red conectora (RC), una zona de transición entre la RIO y la REO.
Mediante espectrometría de masas —una técnica utilizada para identificar y cuantificar moléculas—, los investigadores descubrieron que, al nacer, la REO contiene miles de proteínas en sus tubos, que parecen ser producidas por sus propias células. Una de ellas, la proteína de unión al factor de crecimiento similar a la insulina 2 (IGFBP2), podría estar involucrada en la función ovárica. Esta proteína podría modular la disponibilidad y la actividad de los factores de crecimiento similares a la insulina (IGF), que son estructuralmente similares a la insulina y son importantes para el desarrollo de los folículos que transportan óvulos inmaduros y hormonas en el ovario.
En otros experimentos, los investigadores observaron el movimiento del tinte fluorescente a través la REO, lo que reveló que el líquido dentro de la REO es impulsado hacia el ovario. Esto sugiere además que la RO desempeña un papel en la función ovárica.
En otro análisis, descubrieron que las células de la RO expresaban, o activaban, genes que codifican diversos receptores hormonales, incluyendo los receptores para las hormonas sexuales estrógeno y progesterona. Estas hormonas desempeñan un papel importante en la reproducción y la salud femeninas, ayudando a regular el ciclo menstrual, entre otras funciones.
“Parece que la red ovárica podría desempeñar un papel en la homeostasis ovárica, es decir, en el mantenimiento de los ovarios y su entorno”, sugirió Taylor. “De igual manera, parecen ser capaces de detectar el movimiento de fluidos dentro y alrededor de los ovarios y su microambiente. Finalmente, y lo más interesante, está el posible papel endocrino [hormonal] que podría desempeñar la red ovárica”.
Los investigadores detrás del estudio sugieren que la REO puede “actuar como una antena” para recibir señales del resto del cuerpo, tanto a través de hormonas como de nervios, y luego enviar esa información al ovario a través de las proteínas que secreta y transporta.
“Aún hay mucho que ni siquiera podemos empezar a comprender sobre la anatomía femenina”, declaró a Science News la autora principal del estudio, Dilara Anbarci, bióloga del desarrollo de la Universidad de Michigan. “Espero que esto impulse más investigaciones para reevaluar lo que aún desconocemos sobre el ovario”.
Los investigadores esperan investigar más a fondo la función y las estructuras de los componentes de la red ovárica, estudiando cómo la REO realmente responde a las hormonas y si las proteínas que secreta cambian en respuesta a los cambios en el cuerpo. Esta investigación desafía la visión tradicional de la red ovárica como redundante, proponiendo, en cambio, que posee una riqueza secreta de funciones. Descubrir cómo funciona la red ovárica podría algún día ayudar a los científicos a comprender y tratar mejor las afecciones del sistema reproductor femenino.
“El sistema endocrino desempeña un papel fundamental en la salud ginecológica”, afirmó Taylor. “Una mejor comprensión de las estructuras de esta región tiene el potencial de abrir nuevas vías terapéuticas y oportunidades para el tratamiento de diversas afecciones”.
Fuente: Live Science.
